Καλώς ορίσατε
Στην περιήγηση σας στην ιστότοπο μας μπορείτε να ενημερωθείτε: για τις παρεχόμενες οδοντιατρικές υπηρεσίες μας, τα κλινικά περιστατικά που αντιμετωπίστηκαν στο ιατρείο μας, τις οδοντιατρικές «ανησυχίες» και τα πιθανόν ερωτηματικά για τη φύση της οδοντιατρικής και τις προτεινόμενες θεραπείες.
Σχέση Εμπιστοσύνης
Αυτό που χαρακτηρίζει το οδοντιατρείο μας είναι η σχέση εμπιστοσύνης και συνεργασίας μεταξύ επιστημονικού προσωπικού και ασθενών. Κάτι που «χτίζεται» από το 2002 ιδιωτικού ιατρείου έως και σήμερα. Οι ασθένειες μας λαμβάνουν πλήρη φροντίδα και ενημέρωση από την στιγμή που εισέρχονται στο ιατρείο μας. Δεν «ψάχνουμε» μόνο για την τερηδόνα ή για τα ίσια και λευκά δόντια....
Γιατί πηγαίο & άψογο?
Η σπουδαιότητα της αισθητικής εμφάνισης του ατόμου στην εποχή μας ασκεί καθοριστική επίδραση στην κλινική οδοντιατρική πράξη. Ο οδοντίατρος πρέπει να είναι κάτοχος των λεπτομερειών των ανατομικών στοιχείων της στοματικής περιοχής και των δοντιών, ιδωμένα όχι μόνο από στατική άποψη, αλλά και μέσα από μια γενικότερη δυναμική και λειτουργική αντίληψη των στοιχείων του προσώπου.
Κλινικα Περιστατικα
Περιοδοντολογία
Περιοδοντίτιδα είναι η φλεγμονώδης νόσος όλων των περιοδοντικών ιστών και χαρακτηρίζεται από καταστροφή του περιρριζίου και φατνιακού οστού. Η περιοδοντίτιδα...
Παιδοδοντία
Η παιδοδοντία είναι κλάδος της οδοντιατρικής που αντικείμενο έχει την πρόληψη και την αντιμετώπιση της στοματικής υγείας των παιδιών. ΑΝΑΤΟΛΗ...
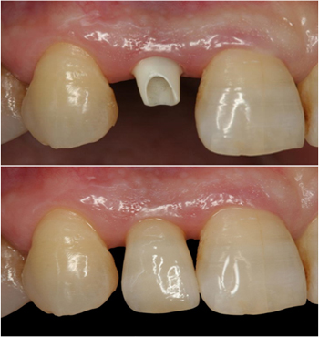
Προσθετική – Εμφυτεύματα
Η προσθετική είναι ο κλάδος της οδοντιατρικής που δημιουργήθηκε από την ανάγκη αντικατάστασης στοιχείων του στοματογναθικού συστήματος που έχουν απολεσθεί...
Γενική Οδοντιατρική
Στόχος της οδοντιατρικής είναι η πρόληψη, η διατήρηση και η αποκατάσταση της στοματικής υγείας. Τα δόντια απειλούνται καθημερινά από την...
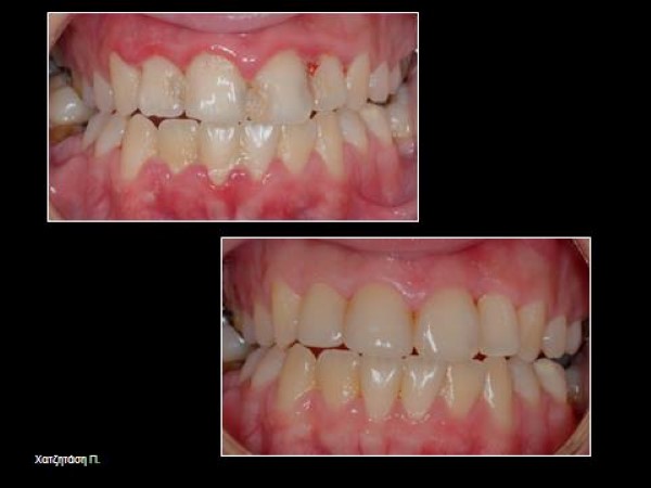
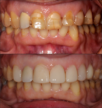
Αισθητική Οδοντιατρική
Ο όρος ‘Αισθητική’, είναι δημιούργημα του νεοκλασικισμού κι επινοήθηκε στα μέσα του 18ου αιώνα από τον AlexanderBaumgarden, ο οποίος ουσιαστικά...
Ενέσιμο Υαλουρονικό Οξύ
Το δέρμα περιέχει ένα σημαντικό παράγοντα ενυδάτωσης, ένα φυσικό σάκχαρο που ονομάζεται Υαλουρονικό Οξύ (Υ.Ο). Με την πάροδο του χρόνου...
Κλείσε ένα ραντεβού τώρα. Η καλύτερη θεραπεία είναι η ΠΡΟΛΗΨΗ!!!!
ΟΔΟΝΤΙΑΤΡΙΚΑ ΘΕΜΑΤΑ
Η απόφαση μεταξύ της διατήρησης ενός φυσικού δοντιού και της αντικατάστασής του με ένα οδοντικό εμφύτευμα είναι μια από τις πιο σημαντικές στην οδοντιατρική
Η απόφαση μεταξύ της διατήρησης ενός φυσικού δοντιού και της αντικατάστασής του με ένα οδοντικό εμφύτευμα είναι μια από τις...
Το Δόντι Μπορεί Να Διατηρηθεί Ακόμη Και Με Την Παρουσία Πολλαπλών Γενικών Παθήσεων Και Φαρμακευτική Αγωγής?
ΝΑΙ, είναι δυνατό να σωθεί ένα δόντι ακόμη και παρουσία πολλαπλών γενικών ασθενειών (διαβήτης, καρδιακές παθήσεις, οστεοπόρωση) και φαρμακευτική αγωγή...
Ποια είναι η καλύτερη ολική οδοντοστοιχία;
Όσον αφορά την επιλογή της καλύτερης ολικής οδοντοστοιχίας, πρέπει να έχουμε κατά νου ότι η απόφαση περιλαμβάνει διάφορους παράγοντες, όπως...






